Understanding Teeth Whitening in Alexandria MN
Teeth whitening has become a popular cosmetic dental procedure, and Alexandria, MN, residents are increasingly seeking brighter smiles. This guide delves into the world of teeth whitening, offering insights into the causes of tooth discoloration and the most effective methods for achieving a dazzling white smile. Whether you’re considering professional treatments or at-home solutions, understanding the process is the first step toward a confident, radiant smile. From understanding the science behind discoloration to exploring various whitening techniques, this article provides a comprehensive overview to help you make informed decisions about your dental health in Alexandria, MN.
What Causes Tooth Discoloration
Before diving into whitening solutions, it’s essential to understand the factors contributing to tooth discoloration. Several elements play a role in how your teeth appear, and knowing these causes can help you prevent further staining and make informed decisions about treatments. From dietary habits to lifestyle choices, the reasons behind discolored teeth are varied. Understanding these causes empowers you to take proactive steps toward maintaining a brighter, healthier smile. Regular check-ups and a good oral hygiene routine are fundamental.
Dietary Choices

What you eat and drink has a significant impact on the color of your teeth. Certain foods and beverages contain pigments that can stain tooth enamel over time. Coffee, tea, red wine, and dark-colored berries are notorious for causing discoloration. These substances leave behind chromogens, which adhere to the enamel and lead to staining. Regular consumption of these items can significantly impact your smile’s brightness, making teeth appear dull or yellow. Being mindful of your diet and incorporating stain-reducing foods can help mitigate these effects. Consider drinking through a straw to minimize contact with your teeth.
Lifestyle Habits
Beyond diet, certain lifestyle habits contribute to tooth discoloration. Smoking and tobacco use are major culprits, as nicotine and tar can severely stain teeth, leading to a yellow or brownish hue. Additionally, poor oral hygiene, such as infrequent brushing and flossing, can allow plaque and tartar to build up, leading to staining and dullness. Habits such as chewing tobacco and the use of e-cigarettes can also contribute to discoloration. Adopting a healthy lifestyle, including quitting smoking and maintaining diligent oral hygiene practices, is essential for maintaining a bright smile. These habits can also affect your overall health. In addition, regularly visiting your dentist in Alexandria, MN is paramount.
Aging and Genetics
Tooth discoloration is also influenced by aging and genetics. As we age, the outer enamel layer of our teeth thins, revealing the yellowish dentin underneath. This natural process can make teeth appear darker over time. Moreover, genetic factors can predispose individuals to having teeth that are naturally more prone to staining or discoloration. Some people may have enamel that is thinner or more porous, making it easier for stains to penetrate. While you cannot completely control these factors, understanding them allows you to manage expectations and seek appropriate treatments. Consulting with your dentist in Alexandria, MN, can help you determine the best whitening approach based on your unique circumstances.
Top 7 Secrets for Alexandria MN Teeth Whitening

Achieving a brighter smile in Alexandria, MN, involves more than just a single procedure. Many factors contribute to successful teeth whitening, from the type of treatment you choose to your commitment to maintaining a healthy oral hygiene routine. This section unveils the top seven secrets for effective teeth whitening, providing valuable insights and practical tips to help you achieve and maintain a dazzling smile. These secrets are designed to empower you with the knowledge needed to make informed decisions and obtain the best possible results for teeth whitening. From professional treatments to at-home care, here’s how to make the most of your journey toward a brighter smile.
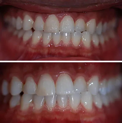
Secret 1 Professional Teeth Whitening
Professional teeth whitening offers the most effective and immediate results. Dentists in Alexandria, MN, use high-concentration bleaching agents that are more potent than those available in over-the-counter products. This method ensures a deeper penetration of the enamel, effectively removing stubborn stains. In-office procedures are also performed under controlled conditions, minimizing the risk of gum irritation or other side effects. Professional whitening is an ideal choice for those seeking dramatic improvements quickly. Before undergoing any procedure, make sure to consult with your dentist to assess your needs.
In-Office Whitening Procedures
In-office whitening typically involves the application of a high-concentration hydrogen peroxide or carbamide peroxide gel to your teeth. The dentist will often use a special light or laser to activate the whitening agent, accelerating the process. The entire procedure can be completed in a single visit, lasting about an hour or two. Your gums are carefully protected throughout the process to prevent irritation. The results are often immediate and can significantly brighten your smile. Following the procedure, your dentist will provide instructions on maintaining your results. Professional whitening provides a safe, effective, and convenient way to achieve a brighter smile. This can also give you a confidence boost.
Secret 2 At-Home Whitening Kits

At-home whitening kits provide a convenient and more affordable alternative to professional treatments. These kits typically include custom-fitted trays or strips filled with a bleaching agent. While at-home kits are less potent than in-office treatments, they can still deliver noticeable results with consistent use. It’s important to follow the instructions carefully to avoid any potential sensitivity or side effects. Over-the-counter options are readily available, but custom trays prescribed by your dentist offer a more tailored fit and can yield better results. At-home kits provide a flexible approach, allowing you to whiten your teeth at your convenience. Always consult with your dentist before starting any at-home whitening regimen.
Custom Trays vs. Over-the-Counter
When choosing an at-home whitening kit, you’ll encounter two primary options: custom trays and over-the-counter strips or trays. Custom trays, prescribed by your dentist in Alexandria, MN, are specifically molded to fit your teeth, ensuring even coverage of the whitening agent and minimizing leakage. This personalized fit enhances effectiveness and reduces the risk of gum irritation. Over-the-counter options, such as whitening strips or pre-filled trays, are more readily available and less expensive. However, they may not provide the same level of precision and can sometimes be less comfortable. Custom trays often offer better results due to their superior fit and the ability to use a stronger bleaching agent under professional guidance. Choosing the right option depends on your individual needs and preferences. Consult with your dentist to decide what is right for you.
Secret 3 Maintaining Good Oral Hygiene
Maintaining good oral hygiene is essential for both achieving and preserving a bright smile. Regular brushing and flossing remove surface stains and prevent the buildup of plaque and tartar, which can dull your teeth. Proper oral hygiene also helps to prevent further staining and extends the life of your whitening results. Consistent care not only enhances the appearance of your teeth but also promotes overall oral health. By establishing a consistent routine, you can significantly impact your oral hygiene and contribute to a healthier, more radiant smile. Incorporating these steps into your daily life will help you in the long term.
Brushing and Flossing Techniques

Proper brushing and flossing techniques are crucial for maintaining a bright, healthy smile. Brush your teeth at least twice a day, using a soft-bristled toothbrush and fluoride toothpaste. Use gentle, circular motions, and ensure you reach all surfaces of your teeth, including the back molars. Floss daily to remove plaque and food particles from between your teeth and along the gum line. Use about 18 inches of floss, wrapping it around your fingers and gently guiding it between your teeth. Brushing and flossing regularly help remove surface stains and prevent the buildup of plaque and tartar. Following these techniques ensures a thorough clean, contributing to a brighter, healthier smile and improved oral health.
Regular Dental Checkups
Regular dental checkups are essential for maintaining a bright smile and overall oral health. Schedule visits to your dentist in Alexandria, MN, at least twice a year for professional cleanings and examinations. During these checkups, your dentist will remove plaque and tartar buildup, which can cause staining and dullness. They will also identify any underlying issues, such as cavities or gum disease, which can affect your smile. Professional cleanings and checkups can remove surface stains that brushing and flossing might miss, helping to keep your teeth looking their best. They also provide an opportunity to discuss your teeth whitening options. Regular dental checkups are an integral part of a comprehensive oral care routine.
Secret 4 Avoiding Staining Foods and Drinks
To maintain a bright smile, it’s important to be mindful of the foods and drinks you consume. Certain items contain pigments that can stain your teeth, reducing the effectiveness of whitening treatments and diminishing the overall brightness of your smile. Limiting or avoiding these staining agents can significantly contribute to maintaining a radiant appearance. By making conscious dietary choices, you can prevent future staining and preserve the results of your teeth whitening efforts. Remember that even after whitening, maintaining a diet low in staining substances helps keep your smile looking its best for a more extended period. Taking these steps will result in a beautiful smile and greater confidence.
Coffee, Tea, and Red Wine

Coffee, tea, and red wine are notorious for staining teeth due to their high concentration of chromogens. These dark-colored beverages readily adhere to tooth enamel, leading to discoloration over time. The tannins in tea and red wine enhance the binding of these chromogens, making the staining even more pronounced. Coffee contains pigments that can cause yellowing, and red wine’s acidity can erode enamel, making teeth more susceptible to staining. Minimizing the consumption of these drinks, rinsing your mouth with water after consumption, and using a straw when possible can help reduce their staining effects. Consider switching to lighter-colored beverages or drinking them in moderation to protect your smile.
Secret 5 Using Whitening Toothpaste and Mouthwash
Whitening toothpaste and mouthwash can be beneficial additions to your oral hygiene routine, helping to remove surface stains and maintain a brighter smile. These products typically contain mild abrasives or chemical agents, such as hydrogen peroxide, that help to lift stains from the tooth surface. When selecting a whitening toothpaste or mouthwash, it is important to choose products that have been approved by dental professionals. Look for products that contain fluoride to protect against cavities and promote enamel health. Consistent use of whitening toothpaste and mouthwash can help keep your teeth looking bright and improve the results of professional teeth whitening. Consult with your dentist to determine the best options for your needs.
Effectiveness and Limitations
While whitening toothpaste and mouthwash can help remove surface stains and maintain a brighter smile, they have limitations. These products are generally less effective at addressing deep-seated discoloration compared to professional treatments. The abrasives in whitening toothpaste may remove surface stains but can also potentially wear down enamel if used excessively. The concentration of whitening agents in over-the-counter products is lower than in professional treatments, which limits their effectiveness. When used consistently as part of a comprehensive oral hygiene routine, whitening toothpaste and mouthwash can contribute to a brighter smile and help to maintain the results of professional whitening treatments, but they are not a substitute for those treatments.
Secret 6 Considering Professional Advice

Consulting with a dental professional in Alexandria, MN, is crucial before undergoing any teeth whitening treatment. Your dentist can assess your oral health, identify the causes of discoloration, and recommend the most appropriate whitening options. They can also inform you about the potential risks and benefits of each treatment. Professional advice ensures that the chosen method is safe and effective for your individual needs. Your dentist can also provide custom-fitted trays or professional-strength treatments, which can yield better results than over-the-counter options. Professional guidance maximizes the effectiveness of your teeth whitening efforts. By working with your dentist, you can achieve a brighter, healthier smile safely and effectively.
Consulting with a Dentist
During a consultation with your dentist, they will evaluate your oral health and discuss your goals for teeth whitening. This assessment may include an examination of your teeth and gums, X-rays, and a review of your medical history. The dentist can determine the cause of your tooth discoloration and identify any underlying issues, such as cavities or gum disease, which may affect the whitening process. They can also provide personalized recommendations based on your unique needs, including the type of treatment that will be most effective for you. During the consultation, you can ask any questions you may have about the whitening process, potential risks, and expected outcomes. Your dentist will ensure you have realistic expectations and provide guidance on maintaining your results. This professional consultation is a key step towards achieving a brighter, healthier smile.
Secret 7 The Importance of Patience and Consistency
Teeth whitening is a process that often requires patience and consistency to achieve optimal results. While professional treatments can deliver immediate improvements, at-home methods typically require regular use over several weeks to achieve the desired level of brightness. It’s important to follow the instructions carefully and not expect overnight results. Consistency is key to maintaining a bright smile, so adhering to your chosen whitening regimen and maintaining good oral hygiene practices are crucial for long-term success. Remember that individual results may vary depending on factors such as the type of discoloration, the chosen treatment, and the individual’s habits. By practicing patience and maintaining a consistent approach, you can achieve and sustain a beautiful, radiant smile. Follow-up appointments and regular cleanings are also essential.
Realistic Expectations and Results
When embarking on a teeth whitening journey, it’s important to have realistic expectations about the results. The degree of whitening achieved varies depending on the individual, the type of discoloration, and the chosen treatment method. Some people may experience dramatic improvements, while others may see more subtle changes. Professional treatments tend to deliver more noticeable results compared to at-home methods. Factors such as age, genetics, and lifestyle habits can also impact the effectiveness of teeth whitening. It’s also important to understand that teeth whitening does not last forever. Results can fade over time, particularly if you continue to consume staining foods and drinks. Realistic expectations, combined with consistent care and maintenance, will help you appreciate the results of your efforts and enjoy a brighter, more confident smile. Regular dental checkups help keep the whitening effective.
Additional Tips for a Brighter Smile
Beyond the core secrets of teeth whitening, several additional tips can contribute to achieving and maintaining a brighter smile. These practices focus on lifestyle adjustments, dietary habits, and the use of helpful aids. By incorporating these additional tips into your daily routine, you can enhance the effectiveness of your whitening efforts and support overall oral health. These simple additions can make a significant difference in your smile’s appearance and your overall confidence. These small changes combined with good oral hygiene, will help ensure a healthy, beautiful smile. Additionally, these tips are often easy to integrate into your daily routine, making it simpler to maintain long-term results. With a little extra effort, you can maximize the benefits of your teeth whitening treatments.
Hydration and Its Benefits
Staying hydrated is crucial for oral health and can contribute to a brighter smile. Drinking plenty of water helps to rinse away food particles and bacteria, reducing the risk of staining and promoting a healthy mouth. Water also stimulates saliva production, which is essential for neutralizing acids and protecting tooth enamel. Dehydration can lead to a dry mouth, which increases the risk of staining and dental problems. Carry a water bottle with you throughout the day and aim to drink plenty of water, especially after consuming staining foods or drinks. The benefits of hydration extend beyond oral health, supporting overall well-being and enhancing your smile’s appearance. Stay hydrated and take care of your oral health.
The Role of Straws
Using straws is a simple yet effective way to minimize the staining effects of certain beverages. When you drink through a straw, the liquid bypasses your teeth, reducing direct contact with the enamel. This can be particularly beneficial when consuming staining drinks such as coffee, tea, or red wine. Straws help to keep these beverages away from your teeth, preventing or reducing the amount of stain. By using a straw, you can enjoy your favorite drinks without compromising your efforts to whiten and maintain a bright smile. This simple habit is a small but meaningful step toward preserving your smile’s brightness. Making this a consistent practice can go a long way in protecting the investment in your smile.
Conclusion
Achieving a brighter smile in Alexandria, MN, involves a combination of professional treatments, at-home care, and consistent oral hygiene practices. From understanding the causes of tooth discoloration to implementing effective whitening techniques, the journey toward a more radiant smile is within reach. By following the top seven secrets, consulting with a dentist, and making mindful lifestyle choices, you can enhance your smile and boost your confidence. Regular dental checkups, consistent oral hygiene, and an awareness of staining foods and drinks play critical roles in maintaining long-term results. With patience, consistency, and professional guidance, you can achieve and sustain a beautiful, healthy smile that you’ll be proud to show off. Remember, a bright smile is not just about aesthetics—it’s a sign of overall health and well-being.
