Understanding Costa Mesa Teeth Whitening
Costa Mesa residents increasingly seek brighter, whiter smiles, making teeth whitening a popular cosmetic dental procedure. This trend reflects a growing awareness of the impact a radiant smile has on self-esteem and overall appearance. Whether it’s for a special occasion, a job interview, or simply to feel more confident, teeth whitening offers a straightforward solution to enhance your smile. Numerous dental practices in Costa Mesa specialize in teeth whitening, providing a range of options to suit different needs and budgets. From in-office treatments to take-home kits, understanding the process and the available choices is key to achieving your desired results.
The Prevalence of Teeth Whitening in Costa Mesa
The demand for teeth whitening in Costa Mesa is on the rise, mirroring national trends. Several factors contribute to this increasing popularity. People are more conscious of their appearance and the impact a bright smile can have on social and professional interactions. Modern cosmetic dentistry has made teeth whitening more accessible and affordable than ever before. Plus, the convenience of various whitening options, from quick in-office procedures to at-home kits, makes it easier for people to fit teeth whitening into their busy lifestyles. This means many dental offices in Costa Mesa are now well-equipped with the latest teeth whitening technologies and techniques.
Popularity of cosmetic dentistry

Cosmetic dentistry, encompassing procedures like teeth whitening, is flourishing. This rise is fueled by advancements in dental technology, making treatments more effective and less invasive. Social media and celebrity influence also play a significant role, as people seek to emulate the perfect smiles often seen online and on screen. Furthermore, increased disposable income and a focus on self-care allow more individuals to invest in cosmetic dental procedures. This trend has encouraged dental practices in Costa Mesa to expand their cosmetic services, offering a wider array of treatments to meet the growing demand.
Common causes of teeth discoloration
Teeth discoloration can stem from various factors, including the natural aging process, which causes enamel to thin, revealing more of the yellowish dentin underneath. Dietary habits significantly impact tooth color, with dark-colored foods and drinks like coffee, tea, red wine, and berries staining teeth over time. Smoking and tobacco use are major contributors to discoloration, leading to stubborn stains. Poor oral hygiene, including infrequent brushing and flossing, can allow stains to accumulate. Certain medications, medical treatments, and genetic factors can also cause teeth to darken or develop discoloration. Understanding these causes is crucial for both preventing and treating discoloration effectively in Costa Mesa.
Top 5 Facts About Costa Mesa Teeth Whitening
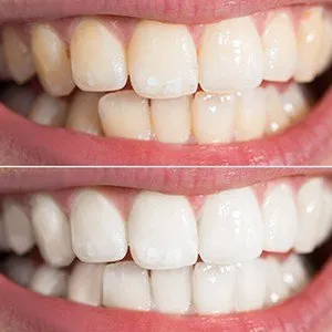
Fact 1 Professional Whitening Effectiveness

Professional teeth whitening, offered by dentists in Costa Mesa, provides superior results compared to over-the-counter products. These treatments use higher concentrations of bleaching agents, such as hydrogen peroxide, to effectively break down stains and lighten teeth. Professional whitening can address a wider range of discoloration issues, including those caused by aging, genetics, and certain medications. The process is carefully monitored by dental professionals, ensuring safe and optimal results, minimizing the risk of tooth sensitivity, and providing consistent and predictable outcomes. Professional whitening offers a significant advantage in terms of both effectiveness and safety, making it a popular choice in Costa Mesa.
The science behind professional whitening
Professional teeth whitening works by using powerful bleaching agents that penetrate the enamel and dentin, the layers of the tooth. These agents, typically hydrogen peroxide or carbamide peroxide, break down the stain molecules, dispersing them and making the teeth appear whiter. The process is often accelerated using specialized lights or lasers, which activate the bleaching agents and enhance their effectiveness. The concentration of the bleaching agent used in professional settings is significantly higher than what is available in over-the-counter products, allowing for more dramatic and faster results. Dentists in Costa Mesa are trained to apply these treatments safely, preventing damage to the teeth and gums.
Fact 2 The Different Whitening Options
Costa Mesa offers various teeth whitening options to suit different needs and preferences. The two main categories include in-office whitening and at-home kits. In-office whitening, performed by a dentist, provides immediate results. The dentist applies a high-concentration bleaching agent to the teeth, and the process is often accelerated with a special light or laser. This method is ideal for those seeking quick and noticeable results. At-home kits, which typically include custom-fitted trays and bleaching gel, offer a more gradual approach. These are prescribed by a dentist after an examination, providing professional guidance and ensuring the safety of the treatment. The choice between these options depends on factors like budget, time constraints, and the severity of discoloration.
In-office whitening procedures

In-office teeth whitening procedures in Costa Mesa are designed to deliver immediate and dramatic results. The dentist will first clean the teeth to remove any surface stains and prepare them for the whitening process. A protective barrier is then applied to the gums to prevent irritation from the bleaching agent. The dentist applies a high-concentration bleaching gel to the teeth, and the process is often accelerated using a special light or laser. The treatment usually takes about an hour, and patients can often see a significant improvement in the brightness of their smile in just one session. This method is ideal for individuals who need immediate results, such as for a special event.
At-home whitening kits
At-home teeth whitening kits offer a convenient and cost-effective way to whiten teeth gradually. The process typically involves custom-fitted trays that are created by a dentist in Costa Mesa to ensure a perfect fit, or sometimes you may get pre-fabricated trays. The dentist will provide a bleaching gel, and the patient will apply the gel to the trays and wear them for a specific amount of time each day or night, as instructed. The concentration of the bleaching agent in at-home kits is lower than in-office treatments, so it takes longer to see results. However, at-home kits offer flexibility and allow patients to whiten their teeth on their own schedule, making them a popular choice for many.
Fact 3 Cost Considerations in Costa Mesa
The cost of teeth whitening in Costa Mesa varies based on the type of treatment and the provider. In-office whitening procedures typically cost more due to the professional expertise and advanced equipment involved. At-home whitening kits are usually more affordable. The specific price depends on the concentration of the bleaching agent, the brand of the product, and the dental practice’s fees. It’s essential to consider that cheaper options might not always deliver the best results or be the safest choice. Consulting with a dentist in Costa Mesa can provide a clearer understanding of the costs involved and help you choose a treatment that fits your budget.
Factors influencing the cost

Several factors influence the cost of teeth whitening in Costa Mesa. The type of whitening procedure is a significant factor, with in-office treatments typically costing more than at-home kits. The experience and reputation of the dental practice can also affect the price. Dental practices with advanced technology or those located in premium areas may charge more. The complexity of the case, such as the severity of the discoloration, may require additional procedures, increasing the cost. Finally, the specific materials and brands used can impact the final price. Understanding these factors can help you make an informed decision and find a whitening solution that meets your needs and budget.
Insurance coverage for whitening
Teeth whitening is generally considered a cosmetic procedure, so it’s typically not covered by dental insurance. However, it’s always best to check with your insurance provider to verify your specific policy. Some insurance plans may offer partial coverage for cosmetic treatments if they are deemed medically necessary, but this is rare. Many dental practices in Costa Mesa offer financing options or payment plans to make teeth whitening more accessible. Discussing payment options with your dentist upfront can help you manage the cost and achieve your desired results without breaking the bank. Always clarify the payment terms before beginning the procedure.
Fact 4 Maintaining Results and Oral Health
Maintaining the results of teeth whitening involves consistent oral hygiene practices and lifestyle adjustments. Regular brushing and flossing are essential to remove surface stains and plaque, preventing new stains from forming. Avoiding or minimizing the consumption of staining foods and drinks, such as coffee, tea, red wine, and berries, helps prolong the whitening effects. Regular dental check-ups and professional cleanings are crucial for maintaining optimal oral health and removing any surface stains that may develop. Using a whitening toothpaste can also help to maintain the brightness of your smile. Adhering to these tips will help you enjoy your brighter smile for longer.
Post-whitening care tips

Following the teeth whitening procedure, it’s important to follow specific post-whitening care instructions to maximize results and minimize sensitivity. Avoid consuming staining foods and drinks, such as coffee, tea, red wine, and dark sauces, for at least 24 to 48 hours after the procedure. Use a whitening toothpaste and a soft-bristled toothbrush to maintain brightness and avoid irritating your gums. Refrain from smoking, as it can quickly reverse the whitening effects. If you experience any sensitivity, use a desensitizing toothpaste as recommended by your dentist. Keeping up with your regular dental check-ups and cleanings is also critical for ensuring your oral health.
Importance of regular dental check-ups
Regular dental check-ups are crucial for maintaining both the results of teeth whitening and your overall oral health. During these visits, the dentist can assess your teeth for any potential problems, such as cavities or gum disease, and provide necessary treatment. Professional cleanings help remove plaque and tartar buildup, which can cause discoloration and contribute to other dental issues. The dentist can also monitor the condition of your teeth and gums, catching any problems early. Regular check-ups enable the dentist to provide personalized advice on maintaining a healthy, bright smile, including tailored recommendations for oral hygiene practices and stain prevention strategies.
Fact 5 Choosing the Right Provider in Costa Mesa
Choosing the right provider for teeth whitening in Costa Mesa is essential for achieving safe, effective, and satisfying results. Look for a dentist with experience in cosmetic dentistry and a good reputation in the community. Check online reviews and testimonials to learn about the experiences of other patients. The dentist should offer a comprehensive consultation to assess your oral health, discuss your goals, and explain the available whitening options. They should use advanced technology and techniques to ensure optimal results and prioritize patient safety. The practice should have a comfortable environment, and the staff should be friendly and knowledgeable. Selecting a provider who meets these criteria will help ensure a positive experience and a beautiful, bright smile.
Finding qualified dentists

Finding qualified dentists in Costa Mesa involves several steps. Start by searching online directories and websites that list dentists in your area. Read reviews and check the dentist’s credentials, including their education, certifications, and any specializations in cosmetic dentistry. Ask for recommendations from friends, family, or other healthcare professionals. Schedule consultations with a few dentists to discuss your needs, ask questions, and assess their approach and expertise. During the consultation, pay attention to the dentist’s communication style, their willingness to address your concerns, and their commitment to patient care. Ensure that the dentist is licensed and up-to-date on the latest techniques and technologies in teeth whitening.
Checking reviews and testimonials
Checking online reviews and testimonials is a crucial step in selecting a teeth whitening provider in Costa Mesa. These reviews offer insights into other patients’ experiences, including the quality of service, the effectiveness of the treatments, and the overall patient satisfaction. Look for reviews on reputable platforms, such as Google, Yelp, and the dentist’s website. Pay attention to the comments regarding the dentist’s expertise, the clinic’s atmosphere, and the staff’s professionalism. Be wary of dentists with very few reviews or a large number of negative comments. Read a variety of reviews to get a balanced perspective and gain a clearer understanding of the provider’s strengths and weaknesses before making your decision.
Conclusion
Teeth whitening in Costa Mesa offers a viable and effective solution for achieving a brighter, more confident smile. Understanding the process, the available options, and the associated costs are vital to making an informed decision. By exploring the different treatments, from in-office procedures to at-home kits, and considering factors such as provider qualifications and post-treatment care, residents can select the best approach for their individual needs. The tips outlined in this guide will empower you to enhance your smile and maintain it for years to come, reflecting the vibrant lifestyle of Costa Mesa.
