Root canal teeth whitening is a specialized dental procedure designed to restore the natural brightness of a tooth after a root canal treatment. This often-overlooked aspect of dental care plays a crucial role in achieving a complete and aesthetically pleasing smile. When a tooth undergoes a root canal, it may darken over time due to the loss of the nerve and blood supply. Whitening offers a solution, allowing you to regain the confidence of a radiant smile. This guide will delve into the intricacies of root canal teeth whitening, providing a comprehensive understanding of the process, benefits, and considerations involved in achieving optimal results.
Understanding Root Canal Teeth Whitening
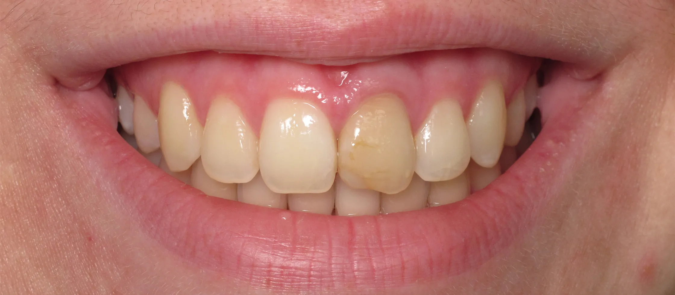
Root canal teeth whitening is a cosmetic dental procedure used to lighten the appearance of a tooth that has undergone a root canal. The primary goal is to restore the tooth’s natural color and blend it seamlessly with the surrounding teeth. The need for whitening arises because a root canal procedure involves removing the tooth’s pulp, which contains nerves and blood vessels. This can cause the tooth to become discolored over time. The darkening is caused by the breakdown of red blood cells within the tooth’s structure and the deposition of pigments. Whitening aims to reverse this discoloration, improving the aesthetic appearance and overall smile.
What is a Root Canal
A root canal is a dental procedure that treats infection at the center of a tooth. The procedure involves removing the infected or inflamed pulp, which consists of nerves, blood vessels, and connective tissue. The process begins with the dentist drilling a small access hole into the tooth to reach the pulp chamber. The infected pulp is then carefully removed from the root canals using specialized instruments. After cleaning and shaping the canals, they are disinfected and sealed with a biocompatible material. Finally, the tooth is typically restored with a filling or crown to protect it and restore its function. Root canals are necessary to save a tooth that is severely decayed or infected, preventing the need for extraction.
Reasons for Root Canal

Root canals are performed to address a variety of dental issues. The most common reason is severe tooth decay that has reached the pulp, leading to infection. This infection can cause significant pain, swelling, and sensitivity to hot or cold temperatures. Other causes include a cracked or broken tooth, which allows bacteria to enter the pulp. Trauma to the tooth, such as from an injury, can also damage the pulp and necessitate a root canal. In addition, repeated dental work on the same tooth can weaken it, making a root canal necessary. Regardless of the cause, the goal of a root canal is to eliminate infection, relieve pain, and preserve the natural tooth.
The Root Canal Procedure
The root canal procedure involves several steps. Initially, the dentist examines the tooth and takes X-rays to assess the extent of the damage. Local anesthesia is administered to numb the area. An access hole is drilled to reach the pulp chamber. The dentist then uses special files and instruments to clean and shape the root canals, removing the infected pulp. The canals are thoroughly disinfected to eliminate bacteria. The canals are then sealed with a rubber-like material called gutta-percha. Finally, the access hole is sealed, and a temporary filling is placed. A permanent filling or crown is usually placed to restore the tooth’s function and protect it from further damage. The entire procedure usually takes one or two appointments.
Why Consider Teeth Whitening After Root Canal?
Teeth whitening is often necessary after a root canal because the treated tooth may darken over time. This discoloration is a common consequence of the root canal procedure. The loss of the blood supply to the tooth and the breakdown of blood cells within the tooth’s structure contribute to this darkening effect. A discolored tooth can significantly impact the overall appearance of your smile, making it appear uneven or aged. Whitening can effectively address this issue, restoring the tooth’s natural brightness and blending it seamlessly with the adjacent teeth. This cosmetic procedure can greatly improve your self-esteem and confidence by providing you with a brighter, more youthful smile. Root canal teeth whitening is a safe and effective way to enhance the aesthetic outcome of your dental treatment.
Types of Teeth Whitening Options

Several teeth whitening options are available after a root canal, each with its own benefits and considerations. The most common methods include in-office whitening and at-home whitening. The choice of whitening method often depends on the severity of the discoloration, your preference, and your dentist’s recommendations. Both methods aim to lighten the tooth’s internal structure, but they differ in terms of the procedure, the materials used, and the time it takes to achieve the desired results. Understanding the differences between these options can help you make an informed decision and achieve the best possible outcome for your smile. Your dentist will assess your specific needs and advise you on the most appropriate treatment plan to achieve the desired level of whitening.
In-Office Whitening
In-office whitening, also known as chairside whitening, is a professional dental procedure performed by a dentist in their clinic. The process involves applying a high-concentration bleaching agent directly to the discolored tooth. This bleaching agent is typically a hydrogen peroxide-based solution. To enhance the whitening effect, the dentist may use a special light or laser to activate the bleaching agent, accelerating the process. The procedure usually takes about one to two hours, and the results are often noticeable immediately. This method is advantageous because it provides rapid and dramatic results under the supervision of a dental professional. It allows for precise control and monitoring of the whitening process, minimizing the risk of complications. In-office whitening is ideal for individuals seeking immediate and significant improvement in their tooth color.
At-Home Whitening
At-home whitening involves using custom-made trays provided by your dentist to apply a bleaching agent at home. Your dentist will take impressions of your teeth to create these trays, ensuring a snug and comfortable fit. The bleaching agent, typically a lower concentration of hydrogen peroxide, is placed in the trays, and the trays are worn for a specific period, usually several hours a day or overnight, as instructed by your dentist. At-home whitening is more cost-effective and allows for flexibility, as you can whiten your teeth at your convenience. However, the process takes longer to achieve the desired results compared to in-office whitening. It’s crucial to follow your dentist’s instructions carefully to avoid any potential side effects, such as tooth sensitivity or gum irritation. At-home whitening can be an effective option for gradually improving your smile’s brightness.
How Root Canal Teeth Whitening Works

Root canal teeth whitening, often referred to as internal bleaching, involves a unique approach compared to external whitening methods. The process targets the internal discoloration of the tooth, which occurs due to the loss of the pulp and the subsequent breakdown of blood components. The whitening agent, typically a hydrogen peroxide-based solution, is placed inside the tooth. The dentist carefully applies the bleaching agent into the pulp chamber and sealed it to prevent leakage. The whitening agent then works to break down the stain molecules within the tooth structure, gradually lightening the tooth from the inside out. This internal approach is essential because traditional whitening methods cannot effectively penetrate the tooth structure after a root canal. This method focuses on restoring the tooth’s original color rather than simply covering it up.
The Internal Bleaching Process
The internal bleaching process involves several key steps. First, the dentist prepares the tooth by removing any existing filling material. This allows access to the pulp chamber. The dentist then places a protective barrier, such as a rubber dam, to isolate the tooth and protect the gums. Next, the bleaching agent is introduced into the pulp chamber. The dentist may then seal the tooth with a temporary filling, allowing the bleaching agent to work over a specified period. The bleaching agent is usually left inside the tooth for several days or weeks, depending on the severity of the discoloration and the desired results. The dentist will monitor the progress and replace the bleaching agent periodically until the desired shade is achieved. Once the tooth is whitened to the desired shade, the dentist will remove the bleaching agent and permanently seal the tooth with a new filling.
Step-by-Step Guide to Internal Bleaching
Internal bleaching is a meticulous process that requires precision and expertise. Initially, the dentist evaluates the tooth to determine the extent of discoloration and the best approach for treatment. The dentist removes any old filling material and thoroughly cleans the inside of the tooth. A protective barrier is placed around the tooth to safeguard the surrounding tissues. The bleaching agent, often a mixture of sodium perborate and hydrogen peroxide, is placed inside the tooth. The tooth is then sealed with a temporary filling. The patient will typically return to the dentist after a few days or weeks to assess the progress. If necessary, the bleaching agent is replaced. Once the desired shade is achieved, the dentist removes the bleaching agent and permanently seals the tooth with a new, aesthetic filling. This step-by-step guide ensures a safe and effective teeth whitening experience.
What to Expect During the Procedure

During the root canal teeth whitening procedure, you can expect a comfortable and relatively painless experience. Before the procedure begins, your dentist will numb the area with local anesthesia to ensure you remain comfortable. The dentist will then prepare the tooth, removing any old filling material. You may feel some slight pressure or vibrations, but there should be no significant pain. The dentist will then insert the whitening agent and seal the tooth with a temporary filling. The temporary filling protects the internal bleaching agent and prevents it from leaking. After the procedure, you may experience some minor sensitivity in the treated tooth, but this usually subsides within a few days. Your dentist will provide post-whitening instructions and schedule follow-up appointments to monitor your progress. The entire process is typically completed in a few visits, with each session lasting about an hour.
Post-Whitening Care and Maintenance
Proper post-whitening care is essential for maintaining the results of your root canal teeth whitening. Following the procedure, it’s important to avoid certain foods and drinks that can stain your teeth, especially during the first few weeks. This includes coffee, tea, red wine, and dark-colored sodas. Smoking should also be avoided, as it can discolor the teeth. Maintaining good oral hygiene is crucial, including brushing your teeth at least twice a day with a whitening toothpaste and flossing daily to remove any food particles and plaque. Regular dental check-ups and cleanings are also essential for maintaining a bright smile. In addition, consider using an at-home touch-up whitening system to maintain the results long-term. By following these recommendations, you can enjoy a beautiful, radiant smile for years to come.
Tips for Maintaining Whitened Teeth
Maintaining the results of your root canal teeth whitening involves several key practices. Avoid or limit the consumption of staining foods and beverages, such as coffee, tea, red wine, and berries. If you consume these items, rinse your mouth with water immediately afterward. Practice excellent oral hygiene, including brushing your teeth at least twice a day and flossing daily. Using a whitening toothpaste can also help maintain brightness. Consider using an at-home whitening touch-up system, as recommended by your dentist, to refresh your results periodically. Schedule regular dental check-ups and professional cleanings to keep your teeth in optimal condition. Avoid smoking, as it can quickly stain your teeth. By following these tips, you can preserve your whitened smile and enjoy the confidence of a bright, healthy-looking smile.
Potential Risks and Side Effects

While root canal teeth whitening is a safe and effective procedure, it is important to be aware of the potential risks and side effects. The most common side effect is temporary tooth sensitivity. This sensitivity usually subsides within a few days after the procedure. In rare cases, some individuals may experience gum irritation or inflammation. This can be minimized by ensuring that the bleaching agent does not come into contact with the gums. Although rare, there is a small risk of internal root resorption, which involves the breakdown of the tooth structure from within. This is a potential complication that your dentist will monitor. It is important to discuss any concerns with your dentist. The benefits, such as improved self-esteem, usually outweigh the risks. If you have any concerns or questions, your dentist will provide thorough explanations and address them.
In conclusion, root canal teeth whitening is a highly effective cosmetic procedure to brighten a tooth after a root canal. Understanding the process, benefits, and potential side effects is crucial for making an informed decision. With proper care and maintenance, you can enjoy a beautiful, confident smile for years to come. Consulting with a qualified dentist is essential to determine the best treatment plan for your specific needs and to ensure a safe and successful outcome. Embrace the opportunity to restore your smile’s natural brightness and improve your overall dental health.
