What is Teeth Whitening
Teeth whitening, also known as teeth bleaching, is a cosmetic dental procedure aimed at lightening the color of your teeth and removing stains and discoloration. It’s a popular choice for individuals looking to enhance their smiles and boost their confidence. The process involves using bleaching agents to break down the stains that have accumulated on the enamel of your teeth. These stains can be caused by various factors, including the foods and drinks you consume, your lifestyle choices, and even the natural aging process. Understanding what teeth whitening entails is the first step towards achieving a brighter, more vibrant smile. Effective teeth whitening can make a significant difference in your overall appearance, making you feel more self-assured in your daily interactions.
Types of Teeth Whitening
There are various teeth whitening options available, catering to different needs and preferences. These methods range from professional treatments performed by dentists to over-the-counter products you can use at home. Each type of whitening method uses different techniques and concentrations of bleaching agents to achieve the desired results. It’s important to know that the effectiveness and suitability of each option depend on the type and severity of the stains on your teeth, as well as your individual oral health condition. Consulting with a dentist is crucial to determine the best approach for your specific needs and to ensure the safety and effectiveness of the chosen treatment.
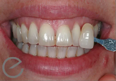
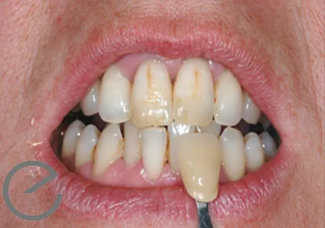
Professional Teeth Whitening

Professional teeth whitening is typically the most effective and fastest way to achieve a brighter smile. It involves treatments performed by a dentist in their office, using stronger bleaching agents than those available in over-the-counter products. This allows for more significant results in a shorter amount of time. During a professional whitening session, the dentist will first assess your teeth and gums to ensure you’re a suitable candidate for the procedure. They’ll then apply a protective barrier to your gums to prevent irritation from the bleaching agent. The whitening gel is then applied to your teeth, and a special light or laser might be used to accelerate the process. The entire procedure usually takes about an hour and can significantly lighten your teeth, often by several shades.
In-Office Whitening
In-office whitening is a type of professional teeth whitening that offers immediate and dramatic results. This method involves the application of a high-concentration bleaching agent directly to the teeth, usually containing a higher percentage of hydrogen peroxide. A special light or laser is often used to activate and accelerate the whitening process, enhancing the effectiveness of the treatment. The procedure is closely monitored by a dental professional to ensure the safety of the gums and surrounding tissues. In-office whitening is ideal for people who want immediate results for special events or who have stubborn stains that resist other methods. The treatment is typically completed in one or two sessions, making it a convenient option for those with busy schedules.
At-Home Whitening
At-home whitening kits provide a more convenient and affordable way to whiten your teeth, allowing you to achieve noticeable results in the comfort of your own home. These kits typically include custom-fit trays and a bleaching gel with a lower concentration of hydrogen peroxide than those used in professional treatments. Before starting at-home whitening, it’s essential to consult with your dentist to ensure it is safe for your specific dental health condition. The dentist can also provide instructions on how to use the kit effectively and safely. While at-home whitening takes longer to produce results compared to professional treatments, it offers a gradual and more budget-friendly approach. The trays are filled with the bleaching gel and worn for a specified amount of time each day or night, depending on the product’s instructions.
Over-the-Counter Products

Over-the-counter (OTC) teeth whitening products are widely available and accessible, offering various options for those seeking to brighten their smiles without a dentist visit. These products are typically less expensive than professional treatments and at-home kits. Common OTC options include whitening toothpastes, strips, and mouthwashes. Whitening toothpastes contain mild abrasives and bleaching agents that help remove surface stains. Whitening strips are thin, flexible strips coated with a bleaching agent that adheres directly to your teeth. Whitening mouthwashes contain ingredients that can help whiten teeth and freshen breath. While OTC products can provide some degree of whitening, they generally offer less dramatic results than professional treatments or custom-fit trays. It is essential to read and follow the product instructions carefully and to be aware of the potential for tooth sensitivity and gum irritation.
Custom-Fit Trays
Custom-fit trays, often provided by a dentist, offer a more effective and comfortable at-home whitening solution than over-the-counter options. These trays are specifically molded to fit the unique shape of your teeth, ensuring the bleaching agent makes even contact with all surfaces. The dentist will take impressions of your teeth to create the custom trays, which provide a precise fit and minimize the risk of the bleaching agent leaking onto your gums. The trays are filled with a prescription-strength whitening gel provided by your dentist, which is more potent than the products sold over the counter. Using custom-fit trays provides more consistent results and reduces the potential for sensitivity compared to using generic whitening strips. Your dentist will guide you on how long to wear the trays and how frequently, based on your specific needs and the desired level of whitening.
Teeth Whitening Secrets
Achieving and maintaining a brighter smile involves more than just the whitening treatment itself. There are several secrets that can significantly impact the effectiveness and longevity of your teeth whitening efforts. These secrets encompass various aspects, from consulting with a dental professional to adopting good oral hygiene practices. Understanding and implementing these strategies can help you achieve and sustain a stunning smile while also protecting your overall oral health. By incorporating these into your routine, you can maximize the benefits of your whitening treatment and enjoy a confident, radiant smile for years to come. Let’s delve into these top secrets to unlock your whitest smile!
Secret 1 Consult Your Dentist

Consulting your dentist is a crucial first step before starting any teeth whitening treatment. Your dentist can assess your overall oral health, identify any underlying issues, and determine if teeth whitening is suitable for you. They can evaluate the condition of your teeth and gums, checking for cavities, gum disease, or other dental problems that need to be addressed. They can also advise you on the most appropriate whitening method based on your specific needs and the type of stains you have. Your dentist can guide you on the expectations and potential outcomes of the procedure. This initial consultation helps prevent potential complications and ensures that the teeth whitening process is safe and effective. They can also offer professional whitening options or recommend the best over-the-counter products for your situation.
Secret 2 Understand Your Teeth
Understanding the nature of your teeth is essential for effective whitening. Not all teeth respond the same way to whitening treatments. The effectiveness of teeth whitening can depend on factors such as the thickness of your enamel, the type and severity of the stains, and your natural tooth color. Teeth with thicker enamel tend to whiten more easily. The type of stains also plays a role; surface stains from coffee, tea, and tobacco are generally easier to remove than intrinsic stains caused by medications or dental trauma. Knowing your teeth’s characteristics will help you set realistic expectations and choose the most appropriate whitening method. Your dentist can help you understand these nuances and guide you in the best direction.
Secret 3 Avoid Staining Foods
Avoiding staining foods and drinks is a crucial step in maintaining your newly whitened smile. Certain foods and beverages contain pigments that can stain your teeth, reversing the effects of whitening treatments. Common culprits include coffee, tea, red wine, dark sodas, and berries like blueberries and strawberries. These items contain chromogens, which are color-producing substances that can easily adhere to the enamel. After teeth whitening, your teeth are more porous and susceptible to staining, so it’s important to be mindful of your diet for at least a few weeks after the procedure. Using a straw when drinking staining beverages can help minimize contact with your teeth. Rinsing your mouth with water after consuming these items can also help reduce staining. Adopting a diet that is friendly to your newly whitened teeth can help maintain your bright smile.
Secret 4 Maintain Good Oral Hygiene

Maintaining excellent oral hygiene is crucial not only for your overall health but also for prolonging the effects of teeth whitening. Brushing your teeth at least twice a day with fluoride toothpaste and flossing daily help remove plaque and food particles that can contribute to staining and discoloration. Using a soft-bristled toothbrush is recommended to avoid damaging the enamel. Regular dental check-ups and professional cleanings are also essential, as they remove built-up tartar and polish the teeth, making them appear brighter and helping to remove any surface stains. Good oral hygiene helps prevent staining from returning and ensures that your teeth remain healthy and bright. Consider incorporating an antiseptic mouthwash into your routine to further reduce bacteria and freshen your breath.
Secret 5 Consider Professional Help
Sometimes, over-the-counter methods are simply not enough to achieve your desired level of whitening. In such cases, considering professional help is advisable. Dentists can provide professional-strength treatments that are significantly more effective than at-home options. They have access to stronger bleaching agents and advanced techniques, such as in-office whitening, which can produce dramatic results in a short amount of time. Professional whitening is also tailored to your specific needs and ensures the safety of your gums and teeth. If you have stubborn stains or are looking for a more dramatic transformation, consulting your dentist is the best route. They can assess your teeth, recommend the best course of treatment, and provide the expert care needed to achieve your ideal smile.
Benefits of Teeth Whitening
Teeth whitening offers a range of benefits beyond just a brighter smile. It can significantly enhance your self-esteem and overall appearance, making you feel more confident in social and professional settings. The process can help you achieve a more youthful and vibrant look, which can positively impact your self-perception. Beyond the cosmetic advantages, teeth whitening is a relatively straightforward and non-invasive procedure that can dramatically improve your smile. The procedure can boost your confidence, improve your social interactions, and contribute to a more positive self-image. By considering the benefits, you can make an informed decision about whether teeth whitening is the right choice for you.
Improved Confidence

One of the most significant benefits of teeth whitening is the boost it gives to your confidence. A bright, white smile is often associated with youth, health, and attractiveness, which can lead to increased self-esteem. When you’re happy with your smile, you’re more likely to feel comfortable and confident in social situations, such as meeting new people, giving presentations, or simply taking photos. Improved confidence can spill over into other areas of your life, from your professional career to your personal relationships. It can make you feel more comfortable expressing yourself and interacting with others. The transformative effects of teeth whitening extend far beyond just a brighter smile and can truly make you feel better about yourself.
Enhanced Appearance
Teeth whitening dramatically enhances your overall appearance, giving you a more polished and attractive look. A brighter smile can make your face appear more radiant and youthful. It can also create a positive first impression, making you seem more approachable and friendly. Whitening can also make you look healthier and more well-groomed. It’s a relatively quick and non-invasive way to enhance your facial features and boost your overall aesthetic appeal. The enhanced appearance that teeth whitening provides can contribute to a more positive self-image and make you feel better about yourself.
Long-Term Teeth Whitening
Maintaining a bright, white smile over the long term requires a consistent and proactive approach. While teeth whitening treatments can provide immediate results, these results aren’t permanent, and the effects will gradually fade over time. To ensure that your smile remains radiant, it’s important to implement a long-term maintenance plan. This plan should include good oral hygiene practices, such as regular brushing and flossing, and avoiding staining foods and drinks. Periodic touch-up treatments might be needed to maintain the desired level of whiteness, and discussing the best approach with your dentist is crucial. By incorporating these strategies, you can enjoy your beautifully whitened smile for years to come.
