What is Teeth Whitening Upper East Side
Teeth whitening, a popular cosmetic dental procedure, aims to brighten and lighten the shade of your teeth. In the vibrant Upper East Side, residents have access to a multitude of options to achieve a dazzling smile. The process typically involves removing stains and discoloration caused by factors like coffee, tea, tobacco, and aging. It’s a non-invasive way to enhance your appearance and boost your confidence. Several methods exist, from professional treatments at your dentist’s office to convenient at-home solutions. Understanding the different approaches is the first step towards a brighter, more radiant smile. The procedure’s effectiveness and longevity depend on various factors, including the initial condition of your teeth and your lifestyle choices.
Types of Teeth Whitening Upper East Side
The Upper East Side offers a range of teeth whitening options to suit different needs and preferences. These methods can be broadly categorized into professional in-office treatments and at-home solutions. Each method has its own advantages and considerations. Choosing the right approach often involves a consultation with a dentist to assess your oral health and determine the most suitable option for achieving your desired results. The best choice depends on the extent of staining, your sensitivity levels, and your commitment to the aftercare process. Consider the benefits and drawbacks of each type to make an informed decision for your smile transformation.
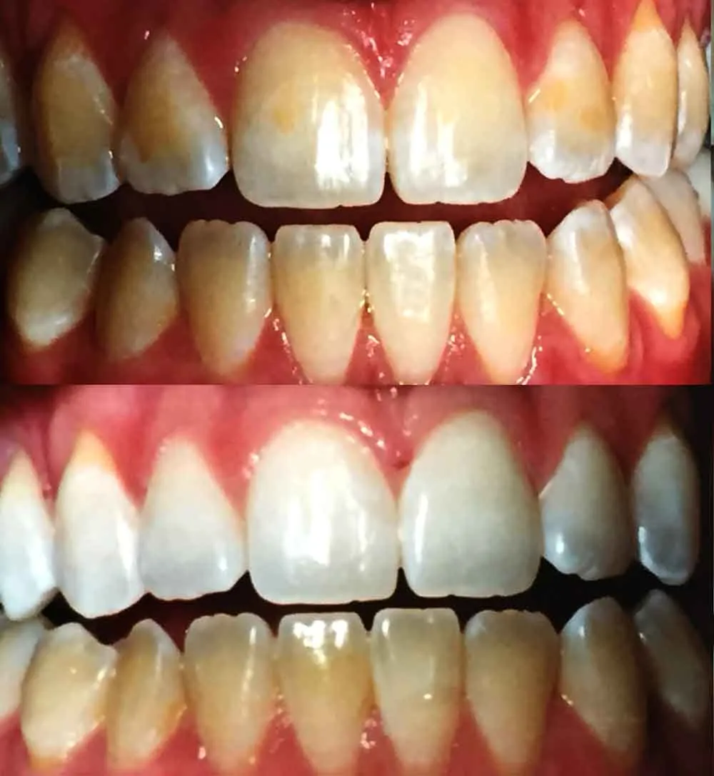
In-Office Teeth Whitening Upper East Side

In-office teeth whitening offers the most dramatic and immediate results. This procedure, performed by a dental professional, involves the application of a high-concentration bleaching agent to the teeth. The process is typically completed within a single visit, making it a convenient option for those seeking quick improvements. A special light or laser may be used to accelerate the whitening process, enhancing the effectiveness of the treatment. The dentist takes precautions to protect your gums and soft tissues during the procedure. This method is ideal for individuals who want significant whitening in a short period. The results can be impressive, often several shades lighter. However, the cost is generally higher compared to at-home methods.
Professional Teeth Whitening Process
The in-office whitening process begins with a thorough dental examination and cleaning to ensure your teeth are healthy and free of plaque. The dentist then isolates your teeth, protecting your gums with a special barrier. A high-concentration whitening gel is applied to the surface of your teeth, and a special light is often used to activate the whitening agents. The gel is typically left on for a specific period, and the process may be repeated several times during the appointment. After the treatment, the dentist will provide instructions for post-whitening care. You can expect to see a significant improvement in the color of your teeth immediately after the procedure.
At-Home Teeth Whitening Upper East Side
At-home teeth whitening provides a more cost-effective and flexible alternative for brightening your smile. Various options are available, including over-the-counter products and custom-fit whitening trays prescribed by your dentist. These methods typically involve lower concentrations of whitening agents compared to in-office treatments, so the results are generally more gradual. The convenience of at-home whitening allows you to whiten your teeth at your own pace and within the comfort of your home. However, consistent use and adherence to the instructions are crucial for achieving the desired outcome. Always consult with your dentist before starting any at-home teeth whitening treatment to ensure it’s suitable for your oral health.
Over-the-Counter Whitening Products

Over-the-counter (OTC) teeth whitening products are readily accessible in pharmacies and online. These products include whitening toothpastes, strips, and gels. Whitening toothpastes contain mild abrasives and chemicals that help remove surface stains. Whitening strips and gels typically contain a lower concentration of hydrogen peroxide or carbamide peroxide, the active whitening ingredient. While OTC products can provide some improvement in tooth color, the results are often less dramatic than professional treatments. It’s essential to follow the product instructions carefully and be aware that overuse can lead to tooth sensitivity. Look for products with the American Dental Association (ADA) Seal of Acceptance to ensure safety and effectiveness.
Custom-Fit Whitening Trays
Custom-fit whitening trays are a more effective at-home option. Your dentist creates these trays by taking impressions of your teeth. This ensures a precise fit, allowing the whitening gel to evenly distribute across your teeth. The dentist will provide you with a whitening gel and instructions on how to use the trays. Custom trays offer better results than OTC products and provide more consistent whitening. The dentist can also monitor your progress and adjust the treatment as needed. This option offers a balance between convenience and professional guidance, making it a popular choice for many. Consistent use, as directed by your dentist, is key to achieving and maintaining your desired results. These trays are a significant step up from the over-the-counter solutions.
Choosing the Right Teeth Whitening Method
Selecting the ideal teeth whitening method depends on several factors. Evaluating these aspects helps ensure you choose the most effective and suitable option for your specific needs. Considering your oral health, desired results, and any sensitivity concerns will guide you towards the best solution. It’s essential to have realistic expectations and consult with your dentist for personalized advice. Proper assessment ensures the chosen method aligns with your goals and keeps your smile healthy. The Upper East Side offers a variety of choices, and a tailored approach often yields the best outcomes. Taking these factors into account significantly increases your chances of a successful and satisfying whitening experience.
Factors to Consider

Several factors should influence your decision. Consider your current oral health. Address any pre-existing dental issues before whitening. Consider your desired results. Some methods offer quicker and more dramatic changes than others. Think about your budget and how much you want to spend. Assess your sensitivity levels. Some people experience increased sensitivity after whitening. Understanding these factors helps you select the right method for your specific needs and circumstances.
Your Oral Health
Before undergoing any teeth whitening treatment, it’s crucial to ensure your teeth and gums are healthy. Conditions like cavities, gum disease, and existing dental work can affect the whitening process and potentially cause complications. If you have any of these issues, it’s best to have them addressed by a dentist before proceeding. A professional cleaning is often recommended to remove plaque and tartar, ensuring the whitening agents can effectively reach your teeth. Your dentist can assess your overall oral health and provide personalized recommendations to optimize your whitening experience. Prioritizing your oral health is essential for achieving the best and safest results.
Desired Results
Think about how much brighter you want your teeth to be. In-office treatments often provide the most dramatic and immediate results, perfect for those wanting a significant change quickly. At-home methods, like custom trays, offer more gradual but still noticeable improvements. Over-the-counter products typically offer the least dramatic results. Knowing your desired outcome helps you choose the best method. Consider how quickly you want to see results and how much improvement you’re hoping to achieve. Remember that individual results can vary depending on the initial condition of your teeth and the whitening method used.
Sensitivity Concerns

Tooth sensitivity is a common side effect of teeth whitening. Some individuals may experience increased sensitivity to hot and cold foods or drinks. The intensity of sensitivity varies depending on the individual and the whitening method used. If you have sensitive teeth, it is essential to discuss this with your dentist before starting any treatment. They may recommend products designed to reduce sensitivity, like special toothpastes, or adjust the concentration of the whitening agent. Choosing a method with a lower concentration of the active ingredient might also be advisable. Understanding and managing potential sensitivity issues ensures a more comfortable experience.
Finding a Qualified Dentist Upper East Side
Choosing a qualified dentist on the Upper East Side is essential for a safe and effective teeth whitening experience. A skilled and experienced dentist can assess your oral health, recommend the most appropriate treatment, and ensure the procedure is performed correctly. The Upper East Side boasts numerous dental practices, so research and due diligence are key. Look for a dentist with a good reputation, positive patient reviews, and a commitment to providing high-quality care. Your dentist will be your partner in achieving your desired smile. Look for practices with a focus on cosmetic dentistry and a comprehensive approach to oral health. A qualified dentist will make your whitening journey a positive and successful one.
What to Look For
When selecting a dentist for teeth whitening, consider their experience and credentials, as well as patient reviews and testimonials. A reputable dentist should have a strong understanding of cosmetic dentistry and be able to provide personalized recommendations. The dentist should conduct a thorough examination of your teeth and gums to determine the best approach. You should feel comfortable asking questions and expressing any concerns you have. Look for a dentist who uses modern equipment and techniques and prioritizes patient safety. Excellent communication and a welcoming environment are also key. Taking the time to research and choose the right dentist will significantly impact the success of your teeth whitening.
Experience and Credentials

Check the dentist’s qualifications and experience. Look for a dentist with a degree from an accredited dental school and a license to practice in New York. Board certifications or specializations in cosmetic dentistry can also be advantageous. Experience in performing teeth whitening procedures is crucial. Ask about the dentist’s training and continuing education in cosmetic dentistry. Review before-and-after photos of previous patients to assess their results. A dentist with a proven track record and a commitment to staying updated on the latest advancements in teeth whitening will offer the best outcomes.
Patient Reviews and Testimonials
Patient reviews and testimonials provide valuable insights into a dentist’s practice. Read online reviews on platforms like Google, Yelp, and Healthgrades. Pay attention to comments regarding the dentist’s professionalism, communication skills, and the quality of their work. Positive reviews from previous patients often indicate a high level of satisfaction. Look for consistent themes in the reviews, such as the dentist’s ability to explain procedures clearly, create a comfortable environment, and achieve desirable results. Consider both the number and the content of the reviews when making your decision. This helps you gauge the dentist’s reputation and understand what to expect from your teeth whitening experience.
Understanding the Teeth Whitening Upper East Side Cost
The cost of teeth whitening on the Upper East Side varies depending on the type of treatment, the dentist’s fees, and the complexity of your case. In-office whitening procedures typically cost more than at-home methods. However, this offers the convenience of immediate results. At-home whitening, such as custom trays, is generally more affordable, and over-the-counter options are the least expensive. The overall cost can also be affected by the initial examination, cleaning, and any other necessary dental work. Before starting any treatment, ask for a detailed estimate and discuss any payment options with your dentist. Being informed about the costs allows you to make a budget-friendly decision while still achieving a brighter smile.
What Impacts the Cost

Several factors influence the cost. The type of whitening method significantly impacts the price. The more advanced and intensive the treatment, the more it will generally cost. The dentist’s experience and expertise also play a role. Highly experienced dentists in sought-after locations often charge higher fees. The complexity of your case can influence the overall cost. If you have extensive staining or require additional dental work, the cost may be higher. Make sure to ask for a detailed breakdown of the costs involved and discuss any payment plans or financing options available. Knowing the cost helps you make an informed choice that aligns with your budget and expectations.
The Procedure
The cost also includes the actual procedure itself. This can vary depending on the chosen method. In-office whitening typically involves the dentist applying a whitening gel and using a special light or laser to accelerate the process. At-home treatments involve custom trays and whitening gel. Costs cover the materials used, the dentist’s time, and any associated expenses. Inquire about the total cost, including any follow-up visits or maintenance. Understanding the breakdown of costs related to the procedure allows you to prepare for the financial commitment. Communicate with your dentist to understand all the costs associated with the procedure.
Aftercare and Maintenance for a Lasting Smile
Proper aftercare and maintenance are crucial for prolonging the results of your teeth whitening treatment and maintaining a bright, healthy smile. Following your dentist’s instructions is essential. This involves avoiding foods and drinks that can stain your teeth, such as coffee, tea, red wine, and dark-colored berries, for a period after the treatment. Regular dental check-ups and professional cleanings are also important. They help maintain your oral health and remove surface stains. Consistent oral hygiene practices, including brushing twice a day and flossing daily, are vital. Your commitment to aftercare ensures your investment in teeth whitening delivers long-lasting, beautiful results. This also helps preserve your oral health.
Post-Whitening Care
After your teeth whitening treatment, your teeth may be more susceptible to staining. Follow your dentist’s instructions carefully. Avoid staining foods and drinks like coffee, tea, red wine, and dark-colored sauces. You should also avoid smoking or using tobacco products. Use a straw when drinking potentially staining beverages to minimize contact with your teeth. Be gentle when brushing your teeth, and use a soft-bristled toothbrush. If you experience any sensitivity, use a toothpaste designed for sensitive teeth. Your dentist may recommend a fluoride treatment to strengthen your enamel. Prioritizing post-whitening care helps maintain your bright smile and protects your teeth from future staining.
Maintaining Your Bright Smile
To keep your smile bright and healthy, follow these tips for long-term maintenance. Schedule regular dental check-ups and professional cleanings to remove plaque and surface stains. Use a whitening toothpaste to help remove surface stains, but consult your dentist first to ensure it is suitable for your teeth. Consider touch-up treatments at home or in the dentist’s office to maintain your desired shade. If you consume staining foods and drinks frequently, brush your teeth or rinse your mouth immediately afterward. Maintain a good oral hygiene routine, including brushing twice a day and flossing daily. Proper maintenance and regular dental care are essential for a lasting bright smile.
Oral Hygiene Practices
Consistent oral hygiene habits are critical for maintaining your bright smile. Brush your teeth at least twice a day for two minutes each time. Use fluoride toothpaste to strengthen your enamel and protect against decay. Floss daily to remove plaque and food particles from between your teeth. Consider using an antibacterial mouthwash to further reduce bacteria. Schedule regular dental check-ups and professional cleanings every six months. This will help detect and address any issues early. Proper oral hygiene practices prevent staining and contribute to your overall oral health. A combination of professional care and diligent home care maximizes the longevity and beauty of your teeth whitening results.
